Services By Rolling Hills Dentistry
Dental Bridge Serivces Danbury, CT
Are you embarrassed when you smile or talk because you are missing a tooth? Losing a front tooth can hinder your confidence in social or professional interactions, making you hide your teeth behind closed lips. At Rolling Hills Dentistry, we offer several solutions for tooth restoration, including a dental bridge. You can have a complete, beautiful smile again and regain your self-confidence with cosmetic dentistry.
What is a Dental Bridge?
Dental bridges are a permanent solution for replacing one or more missing teeth. There are several different types of bridges, but the most common use the existing teeth to support bridgework that holds an artificial tooth or teeth in place. For example, if one of your front teeth is missing, dental crowns can be placed on the teeth on either side of the missing tooth. The crowns are attached to metal bridgework behind the teeth that secures an artificial tooth to replace your missing front tooth. The new tooth looks natural and is functional for chewing, making it an excellent option to replace a missing tooth.
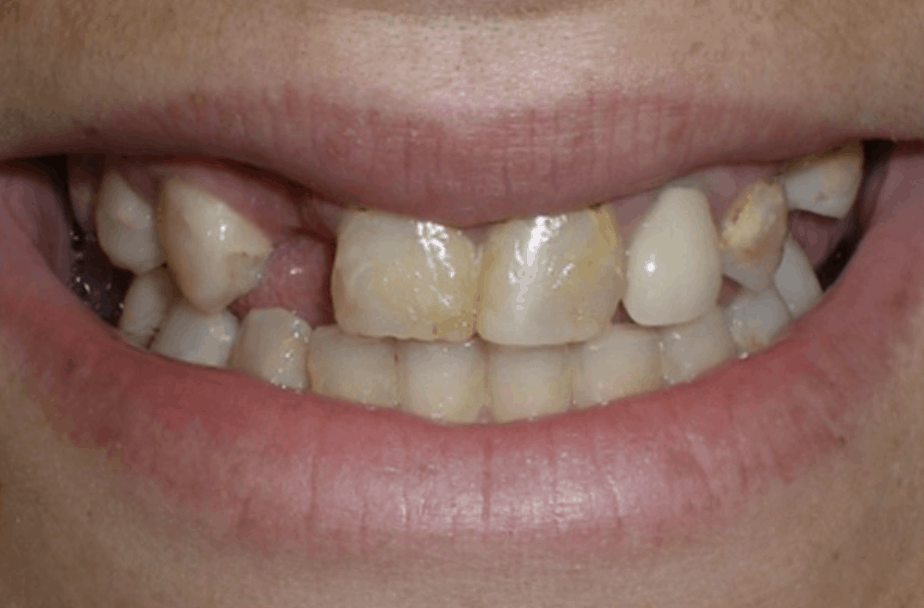
Patients Teeth Before & After A Dental Bridge

Replace Multiple Teeth
Various Dental Options
Permanent Solution
Types of Dental Bridges
Traditional Bridge
Traditional bridges consist of a false tooth or teeth that are held by dental crowns that have been anchored down to abutment teeth. This tends to be the most popular type of dental bridge and is used when you have a gap between two natural teeth. A Traditional bridge requires that you have two remaining teeth on either side of your missing tooth gap.Cantilever Bridge
A cantilever bridge is similar to a traditional bridge. The main difference is you only need a dental crown on one abutment tooth. Unlike a traditional bridge, you only need one tooth next to the missing tooth gap.Maryland Bridge (Resin-Bonded Bridge)
Similar to a traditional bridge, a Maryland bridge needs two abutment teeth. Unlike a traditional bridge though, a resin-bonded bridge doesn't use a dental crown. Rather, it uses a metal or porcelain framework that is bonded to the backs of the abutment teeth. Just like a traditional bridge, a Maryland bridge needs to have a natural tooth on either side of the gap.Implant-Supported Bridge
Implant-supported bridges use dental implants to secure a bridge in place. Unlike the other options, dental crowns are not used. Usually, an implant is placed for each missing tooth and then it supports the dental bridge. This process can take a couple of months since it is a multistep dental procedure. First, a cosmetic dentist will place the implant into the jaw bone and then the bridge will be placed at a later date.Request An Appointment
Benefits of Dental Bridges
There are many benefits to dental bridges including the cost of one versus dental implants. Dental implants are the premium solution to replacing missing teeth, but they are more expensive as well. A dental bridge is a more affordable option available to dental patients looking to restore their smile.
Additionally, a fixed bridge can replace multiple teeth.
Is a Dental Bridge Right For You?
Dental bridges are an affordable option to replace one or two missing teeth, usually in the front of the mouth. Unlike partial dentures, they are secured in place so the artificial tooth will not move or slip when you talk or eat. Best of all they look like natural teeth! Most people are good candidates for dental bridges if they have a missing front tooth, but they must have teeth that can be used as anchors to attach the bridgework.
At Rolling Hills Dentistry, we are restorative experts and have many options to replace teeth that have been lost to decay or injury. Dental implants are the premium option, but not everyone is a good candidate for implants or can afford the expense. Dental bridges are often the best choice when an implant is not possible, offering a permanent solution that will give you back a complete smile and your confidence. Contact our office in Danbury today to schedule an appointment and find out if dental bridges are right for you.